Sleep apnea considerations for the restorative patient
ALSO BY DR. DAN BRUCE |Hidden dental dangers of undiagnosed obstructive sleep apnea
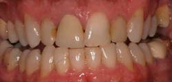
As my knowledge of sleep-related breathing disorders increased, I suspected he may have sleep apnea. Although he denied daytime fatigue, he reported loud and frequent snoring. He filled out a screening form for sleep-related breathing disorders and answered positive to some of the questions. He was sent to a sleep physician who performed an overnight polysomnogram (sleep study). The report from his sleep study showed severe sleep apnea. The patient is getting a continuous positive airway pressure (CPAP) machine.
RELATED |Dental sleep medicine: A growing opportunity
After this case, I make sure to perform a pre-prosthetic clinical checklist and comprehensive health history update that includes sleep disturbance screening.





