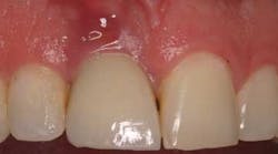
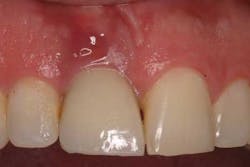
This month's clinical tip from the editor: 'The implant you put in my mouth is now bleeding; what should I do?'
When dealing with these situations, it is important to first assure the patient that the problem can be addressed and, second, know the etiology behind the problem. Here are the top five reasons why implant restorations can bleed:
1.Cement—If the restoration is cemented, be careful not to extrude the cement into the sulcus. Take a radiograph after cementation to check. Even if the cement doesn’t show on the radiograph, it may be still present on the straight buccal or lingual/palatal and/or the cement may be radiolucent. A study by Wilson (1) suggests that eight out of 10 cementable cases that are bleeding are due to excess cement in the sulcus.
2. Open contacts—Even if your restoration had good contacts when you first inserted the crown, teeth change position over time and craniofacial development continues even in the adult stages of life. (2) In other words, your once-tight contact could have become an open contact. Food impaction is certainly a source of bleeding and the restoration may need to be adjusted or changed.
3. Medications—Medical history and medications have a big impact on the inflammatory nature of the gingiva around teeth and implants. If the patient has a bleeding disorder, a blood dyscrasia, and/or is on anticoagulant medication, increased bleeding may be evident. This type of inflammation, however, must be distinguished from pathologic bleeding.
4. Tissue quality—There is a difference in susceptibility to inflammation depending on the type of tissue surrounding the dental implant restoration. Alveolar mucosa is much more likely to bleed than keratinized tissue when faced with a bacterial challenge. Although studies are equivocal when it comes to the need for keratinized tissue around implants, most authors would agree that having good attached tissue is not a bad idea. A soft-tissue graft is one method of correcting this problem.
5. Iatrogenic—Many patients have the philosophy of the more vigorously I clean, the better it will be. Patients can be their own source of bleeding and problems if hygiene is either not performed in the correct manner, the wrong hygiene products are used for implant hygiene, and/or the hygiene techniques used are too aggressive. Make sure your patients are taught proper technique as well as evaluate them on their home care in a periodic fashion.
MORE CLINICAL TIPS FROM DR. SCOTT FROUM …
This month's clinical tip from the editor: 'Help! My implant fell out!'
This month's clinical tip from the editor: 'How much do you charge for an implant? I just want to know the price!'
References
1. Wilson T. The positive relationship between excess cement and peri-implant disease: A prospective clinical endoscopic study. J Periodontol. 2009 Sep;80(9):1388-1392.
2. Daftary F, et al. Lifelong craniofacial growth and the implications for osseointegrated implants. Int J Oral Maxillofac Implants. 2013 Jan-Feb;28(1):163-169.
About the Author

Scott Froum, DDS
Editorial Director
Scott Froum, DDS, a graduate of the State University of New York, Stony Brook School of Dental Medicine, is a periodontist in private practice at 1110 2nd Avenue, Suite 305, New York City, New York. He is the editorial director of Perio-Implant Advisory and serves on the editorial advisory board of Dental Economics. Dr. Froum, a diplomate of both the American Academy of Periodontology and the American Academy of Osseointegration, is a volunteer professor in the postgraduate periodontal program at SUNY Stony Brook School of Dental Medicine. He is a PhD candidate in the field of functional and integrative nutrition. Contact him through his website at drscottfroum.com or (212) 751-8530.


