Healing after root canal therapy: When should you get a crown placed?
Root canal therapy is a highly effective way to treat and save a tooth that has been damaged or infected due to decay. After the procedure is complete, the healing process begins, and with proper care, most people can return to their normal activities relatively quickly.
Cellular healing after root canal therapy is the process of replacing the damaged cells and tissue in the tooth with healthy cells. After root canal therapy, the tooth is filled with a biocompatible material and sealed off to protect it from bacteria. The body then begins the process of healing the affected area by sending in new cells to repair the damage caused by the root canal treatment. This process can take several months, depending on the severity of the original infection and the amount of tissue that was affected. During this time, the tooth may become slightly discolored as the new cells are formed, but this is usually temporary. Once healing is complete, the tooth should look and feel normal.
What is a periapical radiolucency?
How can you tell if a root is fractured?
The first step in the healing process is to allow the area to rest. This means avoiding activities that may cause discomfort or put pressure on the area, such as eating crunchy foods or hard chewing. Instead, stick to softer foods that are easier to chew and swallow. Additionally, it is important to keep the area clean and free from bacteria. This can be done by brushing and flossing regularly, as well as using an antiseptic mouthwash.
The healing process typically takes around two to four weeks, although it can take up to eight weeks or longer in some cases. During this time, it is important to monitor the area for any changes or signs of infection. This includes pain, swelling, or redness. If any of these occur, the patient should contact a dentist immediately as this could indicate a more serious issue.
In general, the healing process after root canal therapy is relatively straightforward and quick but following postprocedural instructions will ensure the best outcomes.
When should I get a crown placed after root canal treatment?
The textbook answer would say that 89% of lesions heal in 12 months.1 However, the typical waiting period to get a crown placed postendodontic treatment depends on a variety of issues:
- Size of the infection and radiographic lesion. The larger the infection, the longer it will take to heal, and the longer you should wait for definitive crown placement.
- Location of the tooth in the mouth. Anterior teeth typically endure less stress than teeth in the posterior area. Premolar and molar teeth are more likely to benefit from the protection of a crown than anterior teeth.
- The fracture potential of the teeth. A person more likely to fracture teeth that have recently been treated with root canal treatment should get a cast restoration expeditiously. Those with parafunctions, such as bruxing, clenching, ice chewing, hard foot diets, etc., would be included in this category.
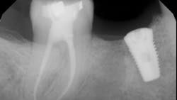
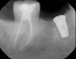
- The type of endodontic treatment dictates the length of healing. Nonsurgical endodontic treatment has a usual healing time of three months. Surgical intervention such as an apicoectomy due to large lesion size can take six to 12 months to heal (figures 1 and 2).
What can happen if you wait too long to place a crown?
If definitive crown placement is delayed and the patient has excessive forces on the tooth or suffers from direct trauma, the tooth can fracture. In many cases, a decision must be made upon full bone healing versus the likelihood of crown fracture (figure 3–6). In addition, most studies show that full-coverage crowns are a main factor in determining long-term success of root canal therapy, with successes ranging from 92% for teeth receiving crowns compared to 35% for those not receiving crowns after a one- to five-year follow-up.2 In another study on molar teeth five years after root canal therapy, teeth that had crowns placed had a success rate of 78% versus 36% without crown coverage.3
Editor’s note: This article originally appeared in Perio-Implant Advisory, a chairside resource for dentists and hygienists that focuses on periodontal- and implant-related issues. Read more articles and subscribe to the newsletter.
References
- Ørstavik D. Time‐course and risk analyses of the development and healing of chronic apical periodontitis in man. Int Endod J. 1996;29(3):150-155. doi:10.1111/j.1365-2591.1996.tb01361.x
- Lynch CD, Burke FM, Ní Ríordáin R, Hannigan A. The influence of coronal restoration type on the survival of endodontically treated teeth. Eur J Prosthodont Restor Dent. 2004;12(4):171-176.
- Nagasiri R, Chitmongkolsuk S. Long-term survival of endodontically treated molars without crown coverage: a retrospective cohort study. J Prosthet Dent. 2005;93(2):164-170. doi:10.1016/j.prosdent.2004.11.001
About the Author
Omar Ikram, MRD, MClinDent, BDS, FRACDS
Omar Ikram, MRD, MClinDent, BDS, FRACDS, is an endodontist and practice owner of Specialist Endo Crows Nest based in Sydney, Australia's lower North Shore. He is also on staff at the Sydney Dental Hospital and is the president of the Australian Society of Endodontology—New South Wales Branch. Dr. Ikram completed his BDS in 1997 at Otago University and worked for approximately 10 years as a general dentist in New Zealand and England. His interest in endodontics led him to study a master's in clinical dentistry in endodontology at Kings College London, United Kingdom, followed by a Membership in Restorative Dentistry in the Royal College of Surgeons of Edinburgh. Contact him on Facebook and Instagram.

Scott Froum, DDS
Editorial Director
Scott Froum, DDS, a graduate of the State University of New York, Stony Brook School of Dental Medicine, is a periodontist in private practice at 1110 2nd Avenue, Suite 305, New York City, New York. He is the editorial director of Perio-Implant Advisory and serves on the editorial advisory board of Dental Economics. Dr. Froum, a diplomate of both the American Academy of Periodontology and the American Academy of Osseointegration, is a volunteer professor in the postgraduate periodontal program at SUNY Stony Brook School of Dental Medicine. He is a PhD candidate in the field of functional and integrative nutrition. Contact him through his website at drscottfroum.com or (212) 751-8530.







