Sensitive about sensitivity?
By Tina Beck, DDSWhat do you do when a patient complains about root sensitivity? Do you have a desensitizing protocol? Here are some tips. First, it is important to recognize the cause of root sensitivity: Exposure of dentinal tubules allowing cold temperatures to stimulate the pupal nerve. The treatment of sensitivity involves either filling or blocking the open tubules. For moderate to severe recession, a root coverage procedure (gum graft) may be performed to cover the exposed area or if symptoms persist after the following desensitizing therapy. Temporary relief can be achieved with the use of a dentin desensitizing product such as HurriSeal, which physically occludes the exposed area with a clear resin. For more permanent relief, I recommend the use of a sensitivity toothpaste such as Sensodyne. There are many similar products currently available, and any dentifrice with potassium nitrate will result in blockage of the dentinal tubules and offer relief from sensitivity. Concurrently, prescribe a prescription-strength fluoride toothpaste and alternate the use of both. Using a potassium-based dentifrice in the morning and a fluoride-based dentifrice in the evening will encourage both methods of tubule closure. Remind the patient to avoid drinking or eating for 30 minutes after use.The second line of defense is the use of a soft-bristled electric toothbrush, such as Sonicare or Oral-B, to discourage further abrasion via aggressive scrubbing. In-office fluoride treatments can also be attempted. A fluoride tray with gel or foam is recommended for generalized sensitivity and a viscous fluoride varnish application if the sensitivity can be localized.Another more recent treatment is a paste by Colgate called Pro-Relief toothpaste. It is applied with a prophy cup and has impressive results for relief of sensitivity for approximately four to six weeks. It is particularly useful when applied immediately prior to a prophy to provide immediate relief for those patients who have such severe sensitivity that it interferes with treatment.Home care can further be amplified with the use of either an OTC or prescription-strength fluoride mouthrinse. These products are very useful for maintaining results achieved after active therapy.Finally, be sure to check for any occlusal imbalances that may be causing microscopic abfractions. Be sure to explain to the patient that any type of desensitizing therapy may require several weeks to months to take effect and results may vary. Emphasize that the goal of treatment is to reduce — not eliminate — the sensitivity. Good luck!
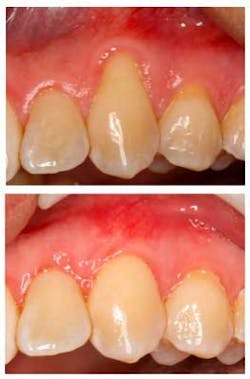
Preoperative and four-week postoperative connective tissue grafts Nos. 11 and 12. Patient complained of severe sensitivity to cold. He was diagnosed with gingival recession, inadequate keratinized gingiva, localized gingivitis, and frenum pull. A connective tissue graft was done to increase keratinized tissue, achieve root coverage, and resolve his sensitivity.
Preoperative and two-month postoperative coronally advanced flap Nos. 27 through 30. Patient complained of severe sensitivity to cold as well as tactile sensitivity. She was was diagnosed with gingival recession. A coronally advanced flap achieved root coverage and resolved her symptoms.
Preoperative and six-week postoperative connective tissue graft No. 22. Patient complained of severe sensitivity to cold and gingival sensitivity. She was diagnosed with gingival recession, inadequate keratinized gingiva, localized gingivitis, and frenum pull. A connective tissue graft was done to increase keratinized tissue, achieve root coverage, and eliminate fremun pull. Both symptoms were resolved.
Author bioDr. Tina Beck is a board-certified periodontist practicing in her hometown of San Diego, Calif. After graduating with a Bachelor of Science in biology from the University of California, San Diego, she earned her Doctorate of Dental Surgery at UCLA. Immediately upon graduating, she moved to San Antonio, Texas, to pursue specialty training in periodontics and implantology at the University of Texas Health Science Center at San Antonio. During her three-year residency, Dr. Beck simultaneously earned a master’s degree in biomedical sciences. In addition, she is a diplomate of the American Board of Periodontology, the highest academic achievement to be obtained in the specialty of periodontics. She remains an active member of the American Academy of Periodontology, Academy of Osseointegration, California Society of Periodontists, American Dental Association, California Dental Association, San Diego County Dental Society, and has been recognized both locally and nationally for her leadership activities in the dental community. Dr. Beck is the owner and sole practitioner of Southern California Periodontics and Implantology.
Author bioDr. Tina Beck is a board-certified periodontist practicing in her hometown of San Diego, Calif. After graduating with a Bachelor of Science in biology from the University of California, San Diego, she earned her Doctorate of Dental Surgery at UCLA. Immediately upon graduating, she moved to San Antonio, Texas, to pursue specialty training in periodontics and implantology at the University of Texas Health Science Center at San Antonio. During her three-year residency, Dr. Beck simultaneously earned a master’s degree in biomedical sciences. In addition, she is a diplomate of the American Board of Periodontology, the highest academic achievement to be obtained in the specialty of periodontics. She remains an active member of the American Academy of Periodontology, Academy of Osseointegration, California Society of Periodontists, American Dental Association, California Dental Association, San Diego County Dental Society, and has been recognized both locally and nationally for her leadership activities in the dental community. Dr. Beck is the owner and sole practitioner of Southern California Periodontics and Implantology.



